
実は、あなたが今思い浮かべた方を、
あなた自身の手で救ってあげられる
唯一の方法があります。
その方法こそ、今回あなたにお届けする『あらゆる症状の元凶を乗り越える唯一無二の治療法』です。この治療法は、各種医療機関でも続々と採用されており、京都大学の学会でも論文が発表されるなど確固たる信頼性が保証されています。
複数の大学教授と
共同で研究
2010年京都大学にて
論文発表
五輪金メダリストなども
御用達
医療大国からも
オファー
これから、実際にこの治療法に出会ったことで患者さんや大切な人を自らの手で救ってあげられるようになり悩める毎日から一変して幸せな毎日を手に入れた2人の物語が始まります。ぜひ、あなた自身の未来だと思ってご覧ください。それでは、これから開幕です!
と呟きながら深いため息をついた2人の人物。
なにやら深刻な悩みを抱えていそうですね。
少しだけ頭の中を覗いてみると…
どうやら、男性は整体師を
仕事としているみたいですね。
それにしても、
深刻な悩みがたくさんありますね…
そして女性は、大切な人が痛みや
不調に苦しまれているようです。
何もしてあげられない自分を
情けなく感じていますね。
あれ、どうやら何か発見したようです。
そこには不思議な光景がありました
※効果を保証するものではありません
病院に緊急搬送され、そこから寝たきりで、歩くことはもちろん立つことさえできませんでした。また失語症により言葉を発することが全くできませんでした。
しかし、現在は杖を使ってどこでも自由に歩けるようになりました。家の中では杖なしで歩けます。
また、スムーズに喋れるようになり、なんと社会復帰までできたんです。公演活動もこれまで30回以上やらせていただき、中には900人を前に公演させていただいたこともあります。
「普通の生活が戻ってきた」と私自身、そう思います。
※個人の感想であり、効果を保証するものではありません。
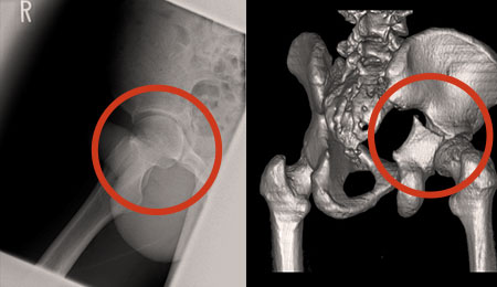
↑骨盤を激しく骨折した当時の写真↑
約10年前の交通事故で骨盤を激しく骨折し、その後遺症にも悩んできましたが、織田先生の施術を数回受けただけで激しかった痙攣も膝の痛みもなくなり、本当に驚きました!
自分の中では別人になったかのような変化でした!
先生に出会えてなかったらと思うと恐ろしいですね…。
※個人の感想であり、効果を保証するものではありません。
あなたもこの治療法を無料で試して効果を感じませんか?
たった5秒で
あらゆる症状の元凶を乗り越える
「織田流適応整体 アクティブマター」を
無料で試しませんか?
決して表に出ることはなかった
ゴッドハンドの源流である
開発者の正体とは?
僕が整体師として独立を考えている時に最初に相談させていただいてから、開発者の先生のもとで何十年と学んできました。今の僕があるのは間違いなく開発者の先生のおかげです!
ずっと学んでいる僕でも、毎回その効果に驚かされているんですから、正直学ばない理由がどこにあるんですかね?
※個人の感想であり、効果を保証するものではありません。
「本当に公開しちゃうんですか…?」
治療家が勉強しているのに治せない本当の理由は、苦痛の原因とその施術ポイントを特定できないことにあります。つまりいくら手技を学んでも、その使いどころが分からないのです。それを、『織田流適応整体』では公開してしまっているのですから、その貴重すぎる技術を学べるあなたはラッキーです。
※個人の感想であり、効果を保証するものではありません。
※個人の感想であり、効果を保証するものではありません。
※個人の感想であり、効果を保証するものではありません。
※個人の感想であり、効果を保証するものではありません。
この治療法は、複数の大学教授と共同研究によって研究されました。つまり、医学的な根拠に基づいた信頼性の高い治療法なのです。そして、2010年に京都大学にて行われた100年以上続く伝統と歴史ある学会“日本応用心理学会”でも発表され、高い評価を得た治療法です。驚くことに論文が発表されたのは今から10年以上前…それから12年以上の年月をかけて進化を遂げ続け、ついに今年2022年4月に完成しました。
※効果を保証するものではありません。
※効果を保証するものではありません
医療/スポーツ/治療界…etc.
各業界の権威も大絶賛
京都大学の学会でも論文発表済みの治療法
「織田流適応整体 アクティブマター」を
無料で試しませんか?
※無料映像は4/6(水)23:59を過ぎると手に入らなくなるので、今の内にご確認ください。









